Cardiovascular MRI
Cardiovascular Research and Education at the University of Alberta
Cardiovascular disease is the number one cause of death in Canada and the United States which is reflected in the clinical and research environment at the University of Alberta. The Alberta Heart Institute (AHI), which is slated to open in 2009, will expand the University of Alberta Hospitals cardiac surgery and heart transplant program, cardiology services, diagnostic testing (including a new cardiac catheterization lab), research and education. Separate from AHI is the Alberta Cardiovascular & Stroke Research Centre (ABACUS), a translational research centre. The mission of this multidisciplinary faculty is to perform research aimed at the prevention, detection, and cure of cardiovascular diseases (CVD), including stroke. ABACUS is a research hospital within a hospital. That will enable researchers to quickly apply breakthrough therapies and revolutionary biomedical devices to patients participating in studies or clinical trials. The ABACUS Centre is adjoining our MR Research Centre. Cardiovascular research at the University of Alberta will involve collaborations between basic scientists and clinicians from all three Centres, with research topics ranging from the molecular level to clinical trials and population studies.
Cardiovascular Magnetic Resonance Imaging
The appeal of MRI for the diagnosis of cardiovascular disease lies in:
- its excellent intrinsic soft tissue contrast
- the ability to acquire images non-invasively in three dimensions with arbitrary image orientations.
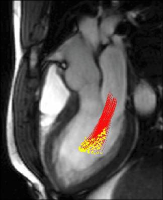
- the ability to collect these images with resolution of motion across the cardiac cycle.
| We can study mechanical function: | Regions of motion abnormalities are readily visualized: Myocardial Infarction vs Healthy |
|
(click on the image to view animation) |
Visualize the function:
| Filling: | Ejection: | Analysis of properties of blood flow: |
![]() |
![]() |



